Skip Menu
Continue
12 Grimmauld Place, Suite 107A, Regulus, NY 10573
Logo
  • Home
  • About Us
    • Our Office
    • New Patients
    • Smile Gallery
    • Dental Videos
    • Testimonials
  • Our Doctors
    • Wendell Granger, DDS
  • Services
      • CEREC Crowns
      • Cosmetic Dentistry
      • Crowns & Caps
      • Dental Bridges
      • Dental Cleanings
      • Dental Fillings
      • Dentures
      • Digital Impressions
      • Digital Radiography
      • Emergency Treatment
      • Extractions
      • Fluoride Treatment
    • View All
  • Dental Health
  • Contact
    • Contact Us
    • Request Appointment

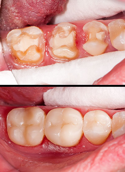
Composite or “Tooth Colored” Fillings

With advances in dental materials and science, restorative materials that are aesthetically pleasing as well as strong and durable are widely available for the filling and repair of teeth that have been affected by tooth decay or dental injuries.

Composite fillings, which are frequently referred to as either “tooth colored fillings” or “white fillings,” are a combination of biocompatible resins and finely ground, glass-like filler materials. Composite fillings, which are manufactured in a complete range of natural looking shades, provide a more cosmetically pleasing alternative to traditional “silver” fillings. Often used to fill a tooth by replacing tooth structure that is missing due to injury or decay, dental composites can also be placed to modify a tooth’s color or shape to dramatically improve its appearance as well as repair dental defects and close gaps between the teeth.

The composite systems used by dentists today integrate the highest quality of microfill particles and resin materials to produce restorations that can withstand the forces generated by all manner of oral function, while achieving attractive, natural looking and long-lasting results. Composite restorations are adhered to the underlying tooth structure through a bonding process, which also serves to seal and strengthen the tooth. Once a composite restoration is placed and is “set” or “cured”, the dentist can refine its shape as well as smooth and polish it to maximize patient comfort. This also helps to prevent the restoration from staining and to avoid premature wear. Besides providing a pleasing match to your natural tooth color, a composite restoration has other advantages over other types of restorations. Composite fillings do not require the removal of as much tooth structure to facilitate placement, nor are they subject to expansion or contraction with temperature changes as is the case with dental amalgams. However, the one drawback is that composite restorations may be more vulnerable to wear and stains over time and can require replacement down the road.

Our Location

12 Grimmauld Place
Suite 107A
Regulus, NY 10573
Existing Patients: (800) 416-5235

Follow Us

Don't wait. Book an Appointment Now!

Lorem ipsum dolor sit amet, consectetur adipiscing elit. Quisque vulputate leo at erat placerat ullamcorper. Quisque congue risus quis sapien congue, a accumsan est suscipit. Mauris mattis nibh in condimentum faucibus.

Request an Appointment